Para refrescar el 1º capítulo sigue este enlace
El segundo capítulo sobre tromboembolismo pulmonar (TEP) y Tc multicorte 64 se centra en la metodologia de adquisición.
El método gold standar para visualizar el TEP es la angiografia digital. La rx de torax y la scintigrafia también se utilizan para diagnosticar el TEP; pero con menor sensibilidad.La tomografia multislice aporta información confiable, debido a la gran resolución espacial y, especialmente con 64 detectores en línea, la resolución temporal es determinante para un estudio de calidad.
En efecto, un buen protocolo de inyección sumado a factores de adquisición correctos pueden objetivar la circulación pulmonar sin contaminación de la imágen con el retorno sanguíneo hacia la aurícula-ventriculo izquierdo y la aorta.
Una inyección de medio de contraste iodado no ionico de 350mg/ml con un flujo mínimo de 3.5ml/seg instilada a traves de una via IV 18G es necesario para la adquisición.
La ventana de tiempo disponible para un estudio angiográfico pulmonar óptimo es muy estrecha, si se quiere evitar la "contaminación" antes mecionada con la circulación mayor. Lo que sucede con los equipos de 64 cortes es que la velocidad de barrido es tal que si no se elige el momento adecuado de inicio de scan, por ejemplo un inicio precoz de barrido, es posible que una vez finalizado el mismo, todavia no se haya alcanzado el pico de realce máximo de contraste.
Por lo tanto es preferible o por lo menos nos ha dado resultado utilizar el rastreo del bolo de M de C o bolus tracking (Smart Prep de General Electric).
Monitoreo y Scan:
El smart prep es un programa de rastreo semiautomático para monitorizar la inyección de M de C para luego elegir el momento propicio de inicio de scan. Es decir que se visualiza en tiempo casi real la opacificación del vaso de interes.
En este caso, las arterias pulmonares o tronco de la pulmonar. Alli depositamos una ROI para medir las unidades hounsfield y, al comenzar la inyección, el equipo realiza cortes en el modo axial siempre sobre el mismo nivel anatómico (arterias pulmonares).
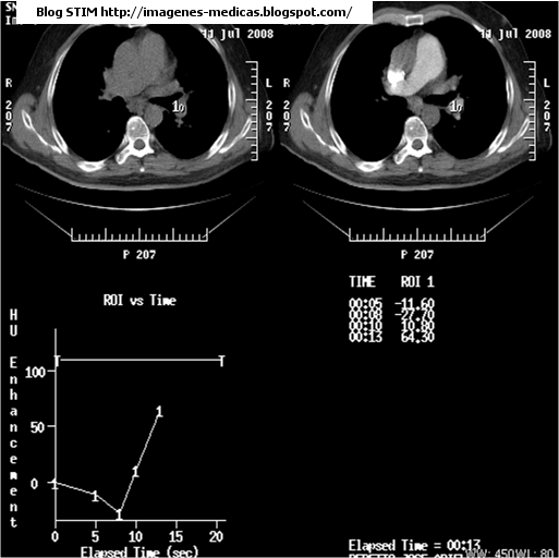
Sobre la pantalla, al momento del monitoreo de la inyección tendremos un curva densidad-tiempo y las imágenes axiales con vision directa de la opacificación de los vasos. (Fig1)
Fig1Arriba izquierda: imagen axial con una ROI en la arteria pulmonar izquierda (se puede colocar en el tronco).
Arriba derecha: imagen axial con la imágen salvada al momento de iniciar la fase de scan.Observar el tronco de la pulmonar con realce. Este estudio salió un poco contaminado. Para ver el momento exacto para iniciar el scan ver la figura2
Abajo izquierda: Gráfico realce-tiempo. Esto depende de la buena ubicación de la ROI. En este caso no se da importancia al gráfico; pero si a la imágen axial de arriba a la derecha para iniciar el barrido.
Abajo derecha: Se realizó un corte axial a los 5 seg de iniciada la inyección, otro a los 8,10 y finalmente a los 13 seg donde se decidió iniciar la adquisisión, a eso se le suman unos 5 a 10 seg de delay diagnóstico.
El tiempo de inicio de los cortes axiales de monitoreo en el smart prep puede ser prescripto por ejemplo, a los 5 seg. de iniciada la inyección. Y la frecuencia de cortes cada 1 ó 2 seg.
En teoria , al opacificarse las arterias pulmonares se inicia el scan; pero existe un delay o retardo diagnóstico de aproximadamente 5 a 10 seg. Esto se debe a el tiempo que le toma a la camilla llegar a la posición inicial de barrido,a la apertura de los colimadores y a la adaptación de los parámetros elegidos para el estudio.
Teniendo en cuenta el delay, si disparamos la fase de scan cuando la pulmonar esta opacificada, la velocidad de circulación del contraste nos jugará en contra. En ese caso la adquisición saldrá "pasada de tiempo"
o con contaminación de la imágen con otros vasos que no queremos ver.
Lo que hemos probado para subsanar ese delay, es inspeccionar la imágenes axiales durante el monitoreo, esperando la opacificación de la vena cava superior. Cuando el realce en la VCS es significativo, se dispara manualmente la fase de scan (volumen helicoidal) para compensar el delay diagnóstico. (Fig 2)
o con contaminación de la imágen con otros vasos que no queremos ver.
Lo que hemos probado para subsanar ese delay, es inspeccionar la imágenes axiales durante el monitoreo, esperando la opacificación de la vena cava superior. Cuando el realce en la VCS es significativo, se dispara manualmente la fase de scan (volumen helicoidal) para compensar el delay diagnóstico. (Fig 2)
Esto determina una adquisición en tiempo del circuito pulmonar. (Fig 3,4 5 y 6)
Fig 2Esta imágen salvada del monitoreo nos muestra el bolo de MdeC en la vena cava superior, y se aprecia un leve aumento de la densidad en la pulmonar.
Una práctica difundida es acompañar la angio pulmonar con una adquisición tardia de los vasos pelvianos. Para ello se programa otro volumen en dirección caudo cranial a continuación de la angio pulmonar con un delay de 90 seg de iniciada la inyección.
De esa forma, se estudiará una posible trombosis venosa profunda TVP.
Fig3_ Trombos en ambas pulmonares (flechas) TEP Observar que no ha llegado contraste a la aorta, es hipodensa tanto la ascendente como la descendente en relación al tronco de la pulmonar. Buen tiempo de adquisición.
Fig4 _ Maxima Intensidad de proyección MIP coronal trombos (flechas) TEP
Fig5 _ Línea de reformateo curvo sobre la vista axial.
Fig6_ Reconstrucción curviplanar donde se detecta el TEP (circulos)
La velocidad de giro del tubo se recomienda llevarla a 0.4 ó 0.5 seg. El pitch debe ser como mínimo de 1:1 Estos factores determinan un barrido que se encuentra en el orden de los 5 seg o menos para un área de cobertura desde los vértices pulmonares hasta los diafragmas.
Hasta la próxima!
Fuente/Bibliografía:
Fernandez Moreno Osuna y Col. htal San agustin (Linares) Fisterra.com Tromboembolismo Pulmonar
Edición: Eduardo Parra
e-mail: blogtecrad@gmail.com
Nota: Los artículos solo pueden ser reproducidos nombrando la fuente, (ver licencia Creative Commons). La opinión de las notas y entrevistas son por cuenta y responsabilidad de los autores y/o instituciones.




3 comentarios :
excelente documento felicitaciones
Buen trabajo
Muy bueno!
Publicar un comentario
Las opiniones que viertas aquí son de valor y sirven para mejorar.
Los comentarios son moderados para evitar el spam.